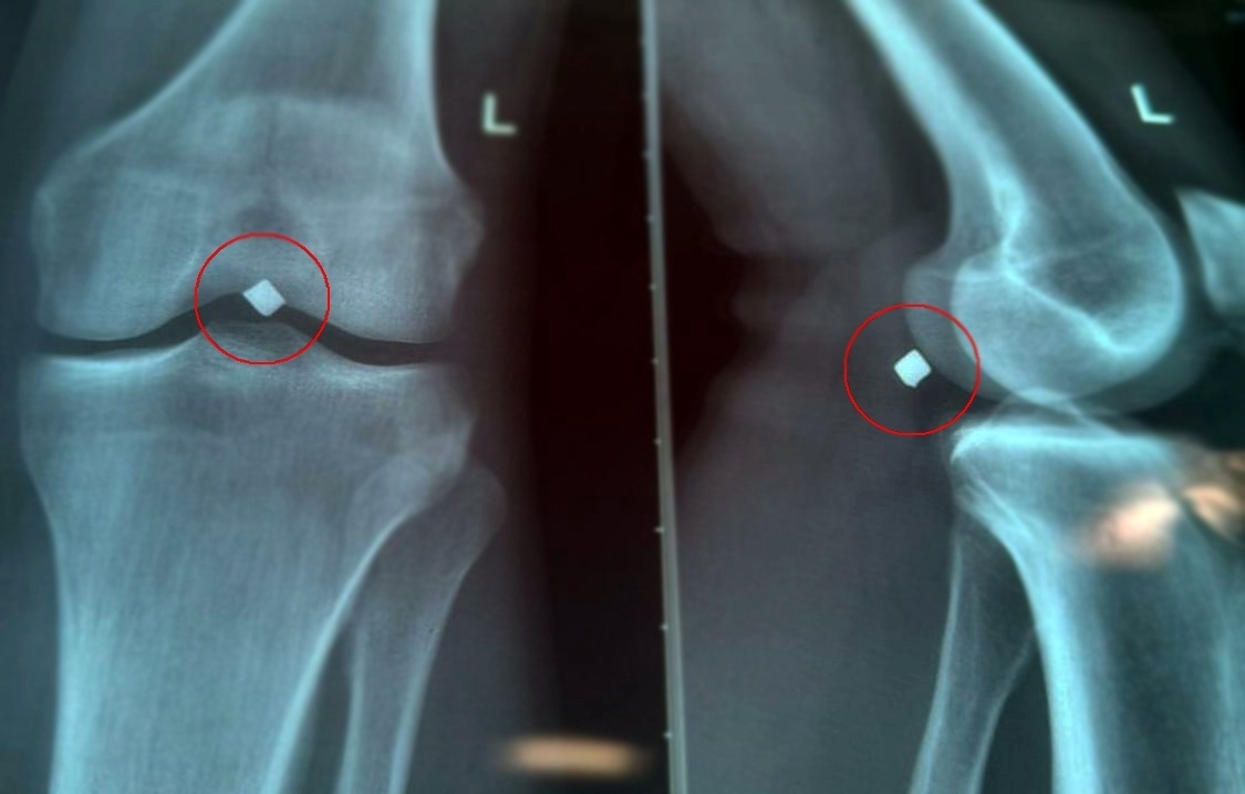
В ОКБ Рязани обратился 22-летний мужчина. В июне этого года он получил ранение – осколок застрял у него в ноге. Траектория оказалась поистине уникальной: осколок пробил надколенник насквозь, прошел через полость коленного сустава и застрял всего в паре миллиметров от крупного сосудисто-нервного пучка.
Как сообщается в группе медучреждения в соцсети, парень мучился от постоянных болей в области инородного тела, каждый шаг был мучительным. Оказывая давление на нерв, осколок вызывал стойкий дискомфорт и нарушение функции левой нижней конечности.
«Провели обследование, рентген показал местонахождение осколка. Во время вмешательства выяснилось, что осколок лежал прямо на стенке подколенной вены и практически пролабировал ее, создавая прямую угрозу жизнеугрожающего кровотечения. Работа хирургов требовала ювелирной точности. Операция прошла успешно, осколок был благополучно и аккуратно удален», — рассказал к.м.н., врач сердечно-сосудистый хирург Карпов Вячеслав Владимирович.
Полностью исчезли прежний мучительный дискомфорт и боли. Пациент выписан в удовлетворительном состоянии для дальнейшего наблюдения по месту жительства.
Подписывайтесь на наш канал в МАХ.












Купить электронную копию газеты